Scoliosis

Insert Content Template or Symbol

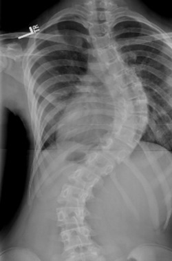
scoliosis chiropractic careCan chiropractors help with scoliosis? In our office, we do not consider ourselves a true scoliosis correction center.

That means, if your child has been diagnosed with this condition they should consider visiting a specialist in this type of care. In the Houston area, Dr. Gary Smouse is known to be the local expert on this type of treatment.

We tend to see the patients that are adults living with scoliosis. Unfortunately, these patients cannot expect their spines to fully straighten out, but they can expect to see improved range of motion and relief of their recurring symptoms.

Some patients have been told they have scoliosis, but they really just have more what should be called a list. A list is a shift to one side or the other of the spine, but just not a full blown scoliotic curvature. Lists often improve under chiropractic care and are not generally diagnosed as a scoliosis condition.

If you are an adult living with scoliosis, you should definitely be under chiropractic care. Every place your spine “kinks” or curves is a place that is under more strain and pressure. Since gravity is a constant force and is always applying pressure to the spine, the more in alignment your spine is the better.

With these increased curves, your spine is under tremendous extra pressure. Think about trying to hammer in a bent nail. In this scenario, the spine is the nail and gravity is the hammer. There will also be constant pressure on the areas that are not lined up correctly and it is very important that you keep your spine moving and functioning at its best.

If you’ve had scoliosis surgery, where screws and rods have been implanted into your spine to keep the curves from getting worse, you can still be seen by a chiropractor. We will be unable to move the areas that have surgically fused into place, but we can still treat the unaffected areas. Depending on the surgery, your neck and lower back may be untouched by the surgery. In some cases, the lower part of the neck or the upper part of the lower back may be surgically fused.

X-ray analysis will be important to see which areas can be adjusted. While you would not be in danger of the chiropractor breaking any of the surgical screws, there’s no reason to have attempts to adjust those areas if it is not necessary. We can and will also use some adjusting instruments or specialized tables to adjust your spine without any unnecessary twisting or awkward, uncomfortable positions.